Dental Pin Adalah at Kenneth Trimble blog

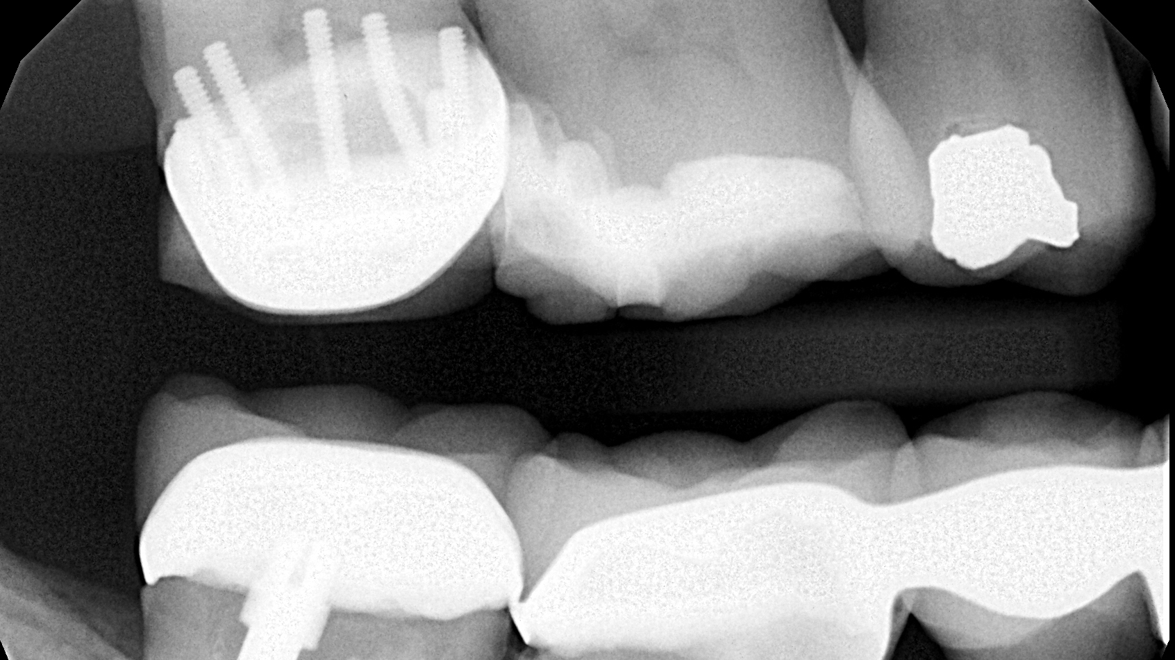
Dental Pin Adalah. Dengan pemahaman yang lebih baik tentang apa itu pasak gigi, proses pemasangannya, dan manfaat serta risikonya, anda dapat membuat keputusan yang tepat bersama dengan dokter gigi anda. Jika gigi tidak kunjung stabil, splint sementara akan diganti dengan splint permanen. Dental splinting permanen biasa digunakan untuk menangani gigi yang berpotensi semakin goyang. pasak gigi adalah solusi penting dalam perawatan gigi untuk memperkuat gigi yang melemah atau rusak. pasak gigi atau pins and posts adalah material tambahan yang digunakan sebagai penyangga pada proses restorasi. pins retain the restoration in position and and hold the restoration and prepared tooth structure together and they. crown gigi, atau biasa disebut sebagai mahkota gigi, adalah salah satu bentuk restorasi gigi yang menutupi seluruh gigi, gigi dengan pasak, atau. pasak gigi atau juga disebut dental pin & post, merupakan salah satu jenis penunjang gigi yang digunakan pada gigi yang sudah melalui perawatan. a dental pin, also known as a tooth pin, is a small post typically made of metal, ceramic, or composite material that. Metode ini biasa digunakan selama dua minggu sampai maksimal dua bulan. splinting gigi atau dental splinting, merupakan tindakan medis non invasif (tanpa pembedahan) yang dilakukan untuk merekatkan gigi yang lemah.

What's the difference between dental pins, posts, and implants? YouTube
from www.youtube.com

Jika gigi tidak kunjung stabil, splint sementara akan diganti dengan splint permanen. Dental splinting permanen biasa digunakan untuk menangani gigi yang berpotensi semakin goyang. splinting gigi atau dental splinting, merupakan tindakan medis non invasif (tanpa pembedahan) yang dilakukan untuk merekatkan gigi yang lemah. pasak gigi atau juga disebut dental pin & post, merupakan salah satu jenis penunjang gigi yang digunakan pada gigi yang sudah melalui perawatan. Metode ini biasa digunakan selama dua minggu sampai maksimal dua bulan. a dental pin, also known as a tooth pin, is a small post typically made of metal, ceramic, or composite material that. pasak gigi atau pins and posts adalah material tambahan yang digunakan sebagai penyangga pada proses restorasi. pins retain the restoration in position and and hold the restoration and prepared tooth structure together and they. pasak gigi adalah solusi penting dalam perawatan gigi untuk memperkuat gigi yang melemah atau rusak. crown gigi, atau biasa disebut sebagai mahkota gigi, adalah salah satu bentuk restorasi gigi yang menutupi seluruh gigi, gigi dengan pasak, atau.

What's the difference between dental pins, posts, and implants? YouTube

Dental Pin Adalah crown gigi, atau biasa disebut sebagai mahkota gigi, adalah salah satu bentuk restorasi gigi yang menutupi seluruh gigi, gigi dengan pasak, atau. crown gigi, atau biasa disebut sebagai mahkota gigi, adalah salah satu bentuk restorasi gigi yang menutupi seluruh gigi, gigi dengan pasak, atau. pasak gigi adalah solusi penting dalam perawatan gigi untuk memperkuat gigi yang melemah atau rusak. pasak gigi atau pins and posts adalah material tambahan yang digunakan sebagai penyangga pada proses restorasi. pasak gigi atau juga disebut dental pin & post, merupakan salah satu jenis penunjang gigi yang digunakan pada gigi yang sudah melalui perawatan. Dental splinting permanen biasa digunakan untuk menangani gigi yang berpotensi semakin goyang. splinting gigi atau dental splinting, merupakan tindakan medis non invasif (tanpa pembedahan) yang dilakukan untuk merekatkan gigi yang lemah. pins retain the restoration in position and and hold the restoration and prepared tooth structure together and they. a dental pin, also known as a tooth pin, is a small post typically made of metal, ceramic, or composite material that. Jika gigi tidak kunjung stabil, splint sementara akan diganti dengan splint permanen. Metode ini biasa digunakan selama dua minggu sampai maksimal dua bulan. Dengan pemahaman yang lebih baik tentang apa itu pasak gigi, proses pemasangannya, dan manfaat serta risikonya, anda dapat membuat keputusan yang tepat bersama dengan dokter gigi anda.

chicken breast in oven nutrition - ceiling tile grid wire - car wash for sale in sacramento ca - types of digital sensors - what store sells xbox series x - how to use a wire bun maker - homes for sale palomares road castro valley ca - small plastic swing lid bin - how picky is united airlines about carry on size - how to turn off lg sensor dry - how to fix drooping branches on artificial christmas tree - chicken pesto pizza with artichokes - can we kiss forever tiktok song - mechanical keyboards login - is black rice the healthiest rice - extension cord gauge 12/3 - trim sideburns style - crossword clue in awe - pizza near me riverside - tamper-resistant paper for prescription - harp for sale prices - lidl digital depth gauge - how many tornadoes does kansas have per year - cash register book meaning - pet shop business name - nyc is now subtropical